Testimonials

Success stories reflect the commitment and excellence of our team. Each story highlights real transformations, from restored smiles to significant improvements in our patients’ oral health – discover how we’ve changed lives through dentistry!
Rehabilitation Dental Crowns and Bridges


Patient presented a maladjusted bridge, poorly elaborated, causing emotional and psychological damage to the patient.
An incredible change was achieved through a 10-unit zirconium dental bridge including digital smile design.
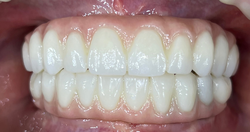
Porcelain Veneers


Patient with worn teeth and an aged appearance of the smile.
We achieved an incredible aesthetic and functional change, giving the patient a more youthful and aesthetic appearance to their smile.
Zirconia Dental Rehabilitation


Patient with an old misaligned bridge, causing functional problems; wanted a change in the appearance of her smile.
Fixed bridge of 10 units returning esthetics, function and quality of life to the patient, thus achieving an extremely positive effect on their self-esteem.
Rehabilitation through all on 4 implants


Patient with misaligned removable prostheses felt limited when eating and psychologically affected for esthetic reasons.
Patient satisfied with her new fixed prostheses that are supported by 4 implants above and 4 implants below, restoring esthetics, function and quality of life.
