Esthetic dentistry
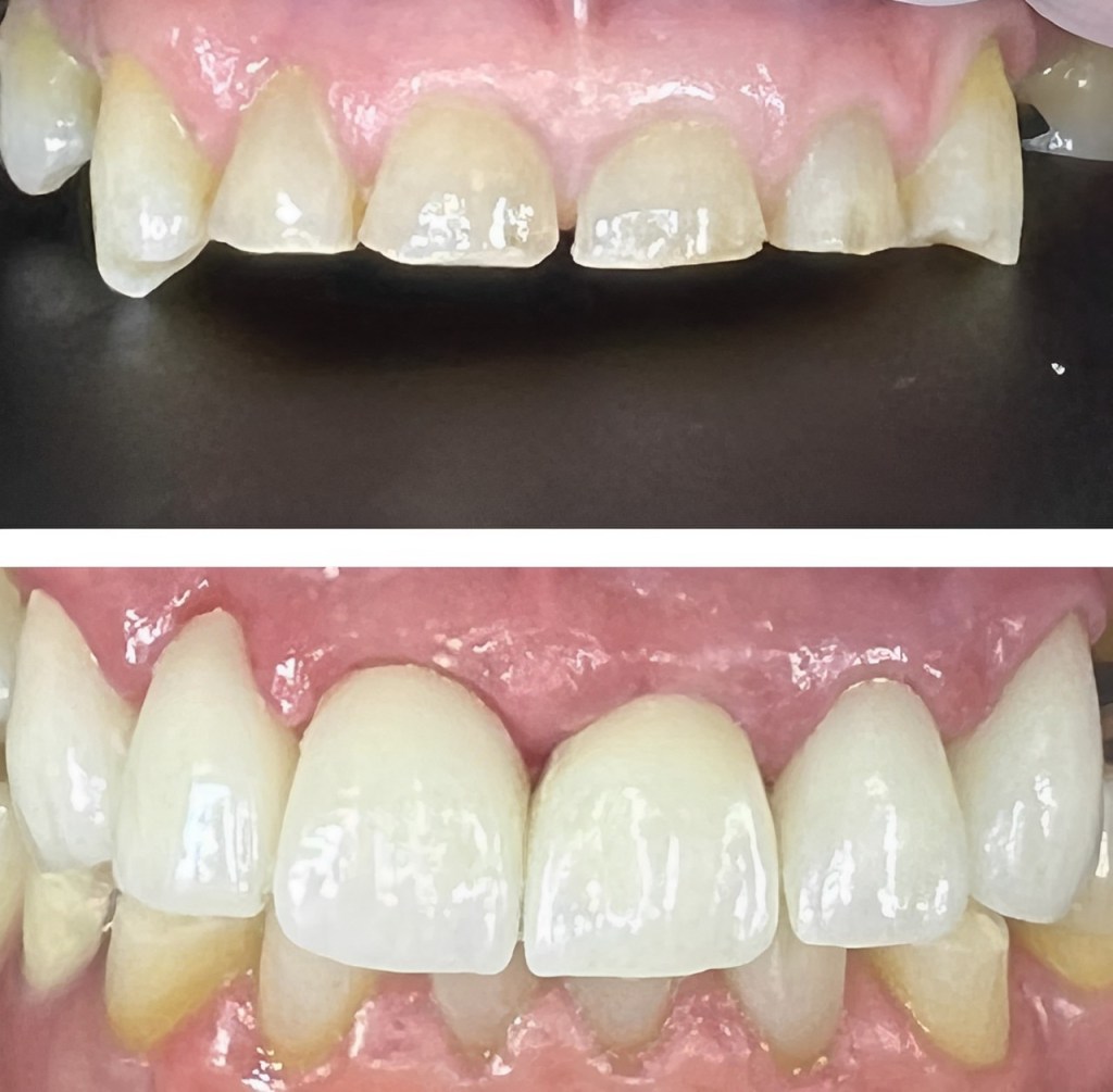
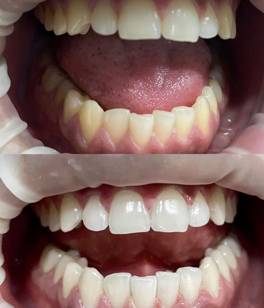
Dental veneers
A great alternative to achieve a harmonious smile with as little dental wear as possible is through dental veneers.


Tooth whitening
It is a non-invasive cosmetic dental treatment to restore the initial color of the teeth and make them look whiter and brighter.


